Blog
How Do I Know if I Have Cuboid Syndrome?

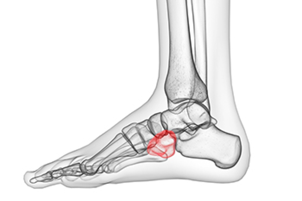
Cuboid syndrome or cuboid subluxation is a condition that comes from trauma or injury to the calcaneocuboid joint and surrounding ligaments. It is a common injury among athletes and dancers. The cuboid bone provides stability to the outer side of the midfoot and helps distribute the weight of the body across the foot to help with walking comfortably. With cuboid syndrome, the foot is painful, red, and occasionally, it is hard to move. Cuboid syndrome can be hard to diagnose because it has symptoms that can be related to different types of foot injuries. This condition can usually be diagnosed through physical exams where the foot is manipulated to try and bring on the symptoms of cuboid syndrome. If the results of these tests indicate cuboid syndrome, the podiatrist will possibly relocate the cuboid bone back into place or instruct the sufferer to refrain from putting weight on the affected foot and rest it to give the cuboid bone time to heal. If you have pain in the midfoot area, consult with a podiatrist who can properly diagnose the condition and provide the best treatment for you.
Cuboid syndrome, also known as cuboid subluxation, occurs when the joints and ligaments near the cuboid bone in the foot become torn. If you have cuboid syndrome, consult with John F. Torregrosa, DPM from Florida Ankle & Foot Institute. Our doctors will assess your condition and provide you with quality foot and ankle treatment.
Cuboid syndrome is a common cause of lateral foot pain, which is pain on the outside of the foot. The condition may happen suddenly due to an ankle sprain, or it may develop slowly overtime from repetitive tension through the bone and surrounding structures.
Causes
The most common causes of cuboid syndrome include:
- Injury – The most common cause of this ailment is an ankle sprain.
- Repetitive Strain – Tension placed through the peroneus longus muscle from repetitive activities such as jumping and running may cause excessive traction on the bone causing it to sublux.
- Altered Foot Biomechanics – Most people suffering from cuboid subluxation have flat feet.
Symptoms
A common symptom of cuboid syndrome is pain along the outside of the foot which can be felt in the ankle and toes. This pain may create walking difficulties and may cause those with the condition to walk with a limp.
Diagnosis
Diagnosis of cuboid syndrome is often difficult, and it is often misdiagnosed. X-rays, MRIs and CT scans often fail to properly show the cuboid subluxation. Although there isn’t a specific test used to diagnose cuboid syndrome, your podiatrist will usually check if pain is felt while pressing firmly on the cuboid bone of your foot.
Treatment
Just as the range of causes varies widely, so do treatments. Some more common treatments are ice therapy, rest, exercise, taping, and orthotics.
If you have any questions, please feel free to contact our offices located in Tavernier, Marathon, and Key West, FL . We offer the newest diagnostic and treatment technologies for all your foot care needs.
Arch Pain May Indicate Various Foot Conditions

Patients who have pain in the arch of their foot may notice it can be difficult to complete daily activities. The arch is responsible for many functions including absorbing shock, balancing, and helping the body to adapt to various surfaces. The pain may radiate to the heel and the ball of the foot, and this may be a result of foot conditions. An abnormal foot structure can cause arch pain, and people who have gained weight or who have undergone extreme physical stress may have pain in this part of their foot. Some of the ailments that are associated with arch pain are plantar fasciitis, heel spurs, and adult-acquired flatfoot. For example, cavus foot can be indicative of having an extremely high arch and may be accompanied by hammertoe and calluses. If you have foot or arch pain for any reason, please consult a podiatrist who can provide a proper diagnosis and offer you effective treatment remedies.
Foot Pain
Foot pain can be extremely painful and debilitating. If you have a foot pain, consult with John F. Torregrosa, DPM from Florida Ankle & Foot Institute. Our doctors will assess your condition and provide you with quality foot and ankle treatment.
Causes
Foot pain is a very broad condition that could be caused by one or more ailments. The most common include:
- Bunions
- Hammertoes
- Plantar Fasciitis
- Bone Spurs
- Corns
- Tarsal Tunnel Syndrome
- Ingrown Toenails
- Arthritis (such as Gout, Rheumatoid, and Osteoarthritis)
- Flat Feet
- Injury (from stress fractures, broken toe, foot, ankle, Achilles tendon ruptures, and sprains)
- And more
Diagnosis
To figure out the cause of foot pain, podiatrists utilize several different methods. This can range from simple visual inspections and sensation tests to X-rays and MRI scans. Prior medical history, family medical history, and any recent physical traumatic events will all be taken into consideration for a proper diagnosis.
Treatment
Treatment depends upon the cause of the foot pain. Whether it is resting, staying off the foot, or having surgery; podiatrists have a number of treatment options available for foot pain.
If you have any questions, please feel free to contact our offices located in Tavernier, Marathon, and Key West, FL . We offer the newest diagnostic and treatment technologies for all your foot care needs.
Swollen Feet and Diabetes May Be Connected

Swollen feet or edema can often accompany the serious condition known as diabetes. Poor circulation may lead to excess fluid in the legs and feet, causing swelling. Gravity plays a significant role in having swollen feet and improving circulation can help to reduce existing swelling. Patients who are diabetic may have damaged veins as a result of poor circulation and may experience kidney issues from having elevated glucose levels. Additionally, the heart may be affected and can become less efficient at pumping blood. All these factors may lead to swollen feet and may be helped by consuming a diet that is low in sodium. It also may help to drink plenty of water, monitor and control the sugar levels in the blood, and partake in a gentle exercise program. If your feet are swollen, please consult with a podiatrist who can diagnose the cause and offer effective treatment options.
Swollen feet can be a sign of an underlying condition. If you have any concerns, contact John F. Torregrosa, DPM of Florida Ankle & Foot Institute. Our doctors can provide the care you need to keep you pain-free and on your feet.
Swollen feet are a common ailment among pregnant women and people who stand or sit for extended periods. Aging may increase the possibility of swollen feet and patients who are obese often notice when their feet are swelling too. There may be medical reasons why swollen feet occur:
- Phlebitis - A condition that causes the veins to become inflamed and can also cause leg pain.
- Liver disease - This may lead to low blood levels of albumin which is a protein. This can cause fluid in the blood to pass into the tissues and several areas of the body can become swollen.
- Heart failure - When the heart doesn’t pump properly the blood that is normally pumped back to the heart can pool in the veins of the legs causing swollen feet.
- Kidney disease - One of the main functions of the kidneys is releasing excess fluid in the body. This type of condition can make it difficult for the kidneys to function properly, and as a result the feet may become swollen.
- Deep-vein thrombosis (DVT)- This is a serious condition where blood clots form in the veins of the legs. They can block the return of blood from the legs to the heart which may cause the feet to swell. It is important to be treated by a podiatrist if this condition is present.
Swollen feet can also be caused by bone and tendon conditions, including fractures, arthritis, and tendinitis. Additionally, there may be skin and toenail conditions and an infection may cause the feet to swell. Patients who take medicine to treat high blood pressure may be prone to getting swollen feet.
Many patients elevate their feet to help relieve the swelling and this is generally a temporary remedy. When a podiatrist is consulted the reason behind the swelling can be uncovered and subsequently treated.
If you have any questions please contact our offices located in Tavernier, Marathon, and Key West, FL . We offer the newest diagnostic and treatment technologies for all your foot and ankle needs.
Flat Feet During Pregnancy

Not surprisingly, a woman’s body changes dramatically over the course of her pregnancy, and as the body changes, the feet do as well. One notable change that can occur during a woman’s pregnancy is flat feet, the loss of the natural arch of the foot. Flat feet can develop as a result of the extra weight that a pregnant woman carries and/or changes in the body’s relaxin hormone. Further, when the arch of the foot flattens, a pregnant woman might also notice her feet roll inward when walking. This is known as over-pronation. To combat the effects of flat feet during a pregnancy, a woman may choose footwear that is specifically designed to provide ample support to the arches of the feet. Additionally, a pregnant woman might even wear orthotics to provide support when the natural arch is lost. If you are pregnant or are planning to become pregnant, consider making an appointment with a podiatrist who can advise you on changes to your feet during pregnancy.
Pregnant women with swollen feet can be treated with a variety of different methods that are readily available. For more information about other cures for swollen feet during pregnancy, consult with John F. Torregrosa, DPM from Florida Ankle & Foot Institute. Our doctors will attend to all of your foot and ankle needs.
What Foot Problems Can Arise During Pregnancy?
One problem that can occur is overpronation, which occurs when the arch of the foot flattens and tends to roll inward. This can cause pain and discomfort in your heels while you’re walking or even just standing up, trying to support your baby.
Another problem is edema, or swelling in the extremities. This often affects the feet during pregnancy but tends to occur in the later stages.
How Can I Keep My Feet Healthy During Pregnancy?
- Wearing orthotics can provide extra support for the feet and help distribute weight evenly
- Minimize the amount of time spent walking barefoot
- Wear shoes with good arch support
- Wear shoes that allow for good circulation to the feet
- Elevate feet if you experience swelling
- Massage your feet
- Get regular, light exercise, such as walking, to promote blood circulation to the feet
If you have any questions, please feel free to contact our offices located in Tavernier, Marathon, and Key West, FL . We offer the newest diagnostic and treatment technologies for all your foot care needs.



