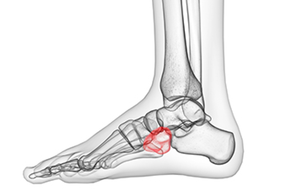
Cuboid syndrome is a condition that is caused by a partial dislocation of the cuboid bone, located in the center of the foot. When this bone is knocked out of place during an injury, it can cause symptoms such as pain along the outside of the foot, swelling, sensitivity, difficulty walking, and a reduced range of motion. Cuboid syndrome is most frequently caused by repetitive overuse during athletic activities, like tennis, basketball, or dancing. When excessive stress is placed on the feet over and over, cuboid syndrome is more likely to occur. This condition is often associated with sprained ankles. Having altered foot biomechanics, a pronated gait,or a tendency to wear ill-fitting shoes can also increase your risk of injuring the cuboid bone. If you are experiencing the symptoms of cuboid syndrome, it is suggested that you seek the care of a podiatrist.
Cuboid syndrome, also known as cuboid subluxation, occurs when the joints and ligaments near the cuboid bone in the foot become torn. If you have cuboid syndrome, consult with John F. Torregrosa, DPM from Florida Ankle & Foot Institute. Our doctors will assess your condition and provide you with quality foot and ankle treatment.
Cuboid syndrome is a common cause of lateral foot pain, which is pain on the outside of the foot. The condition may happen suddenly due to an ankle sprain, or it may develop slowly overtime from repetitive tension through the bone and surrounding structures.
Causes
The most common causes of cuboid syndrome include:
- Injury – The most common cause of this ailment is an ankle sprain.
- Repetitive Strain – Tension placed through the peroneus longus muscle from repetitive activities such as jumping and running may cause excessive traction on the bone causing it to sublux.
- Altered Foot Biomechanics – Most people suffering from cuboid subluxation have flat feet.
Symptoms
A common symptom of cuboid syndrome is pain along the outside of the foot which can be felt in the ankle and toes. This pain may create walking difficulties and may cause those with the condition to walk with a limp.
Diagnosis
Diagnosis of cuboid syndrome is often difficult, and it is often misdiagnosed. X-rays, MRIs and CT scans often fail to properly show the cuboid subluxation. Although there isn’t a specific test used to diagnose cuboid syndrome, your podiatrist will usually check if pain is felt while pressing firmly on the cuboid bone of your foot.
Treatment
Just as the range of causes varies widely, so do treatments. Some more common treatments are ice therapy, rest, exercise, taping, and orthotics.
If you have any questions, please feel free to contact our offices located in Tavernier, Marathon, and Key West, FL . We offer the newest diagnostic and treatment technologies for all your foot care needs.






